Merkel Cell Tumour - Merkel-cell carcinoma - Wikipedia : Merkel cell cancer is a rare carcinoma arising from the neuroendocrin cells of the skin.

Merkel Cell Tumour - Merkel-cell carcinoma - Wikipedia : Merkel cell cancer is a rare carcinoma arising from the neuroendocrin cells of the skin.. Neuroendocrine carcinoma (merkel cell tumor?) presenting as a subcutaneous tumor. Incidence 0.4/100,000 in 2001 (up from 0.1/100,000 in 1986). Learn the basic features of merkel cell carcinoma (primary cutaneous neuroendocrine carcinoma), including my personal approach to using immunohistochemistry. Kivelä, tero and tarkkanen, ahti 1990. Merkel cell carcinoma (mcc), first described in 1972, is an uncommon, highly malignant tumour of skin.

Distinct merkel cell polyomavirus molecular features in tumour and non tumour specimens from. Merkel cell carcinoma (mcc) is a rare, highly aggressive skin cancer affecting older patients, and thought to arise from the cutaneous merkel cell, a neuroendocrine cell. The histologic features of a typical, primitive small cell tumor combined with the immunohistochemical. Virus dna detected in 75% to 80% of merkel cell carcinoma specimens. Merkel cell carcinoma (mcc) is a rare, aggressive skin cancer caused either by merkel currently, the methods used for diagnosis of mcv in tumours are often tedious, discordant and unreliable.

Dermpath Made Simple - Neoplastic: Merkel Cell Carcinoma
Dermpath Made Simple - Neoplastic: Merkel Cell Carcinoma from 2.bp.blogspot.com
Merkel cell carcinoma tends to grow fast and to spread quickly to other parts of your body. Merkel cell tumor — see under carcinoma … medical dictionary. The merkel cell and associated neoplasms in the eyelids and. Incidence of cancer linked to merkel cell polyomavirus. The journal of laryngology & otology, vol. Authoritative facts from dermnet new zealand. Merkel cell carcinoma arising from the subcutaneous fat of the arm with intact skin. The histologic features of a typical, primitive small cell tumor combined with the immunohistochemical.

Incidence 0.4/100,000 in 2001 (up from 0.1/100,000 in 1986).

Distinction between primary cutaneous merkel cell carcinoma and metastatic neuroendocrine carcinoma in the skin requires. They are often mistaken for a bug bite or a basal cell carcinoma. Merkel cell carcinoma, merkel cell polyomavirus (mcpyv), detectr, merkel tumors, molecular diagnosis, crispr, crispr diagnosis, cas12a. Merkel cell carcinoma is a rare type of skin cancer that tends to develop in older adults and in areas merkel cell carcinoma klaus d. Mccs are dermally based tumors composed of small uniform round blue 31. Authoritative facts from dermnet new zealand. Mcc has a high propensity. Carcinoma is a type of cancer. Merkel cell carcinoma (mcc) is a rare, highly aggressive skin cancer affecting older patients, and thought to arise from the cutaneous merkel cell, a neuroendocrine cell. Implications for respiratory transmission and latency. They are abundant in highly sensitive skin like that of the fingertips in humans. Merkel cell cancer is a rare carcinoma arising from the neuroendocrin cells of the skin. Learn the basic features of merkel cell carcinoma (primary cutaneous neuroendocrine carcinoma), including my personal approach to using immunohistochemistry.

Merkel cell carcinoma without a skin primary tumor cases were identified as previously described 13 as lymph node metastasis revealing the cancer, with no previous history of cutaneous merkel cell. Merkel cell carcinoma arising from the subcutaneous fat of the arm with intact skin. Merkel cell carcinoma tends to grow fast and to spread quickly to other parts of your body. Merkel cell tumors express both neuroendocrine and epithelial markers. Neuroendocrine carcinoma (merkel cell tumor?) presenting as a subcutaneous tumor.

Primary Neuroendocrine (Merkel Cell) Carcinoma ...
Primary Neuroendocrine (Merkel Cell) Carcinoma ... from basicmedicalkey.com
Merkel cell carcinoma is a rare type of skin cancer that tends to develop in older adults and in areas merkel cell carcinoma klaus d. Merkel cell cancer is a rare carcinoma arising from the neuroendocrin cells of the skin. Virus dna detected in 75% to 80% of merkel cell carcinoma specimens. Merkel cell carcinoma arising from the subcutaneous fat of the arm with intact skin. Stokes jb, graw ks, dengel lt, et al: Peter, 2011 via wikimedia commons. Authoritative facts from dermnet new zealand. Merkel cell carcinoma, merkel cell polyomavirus (mcpyv), detectr, merkel tumors, molecular diagnosis, crispr, crispr diagnosis, cas12a.

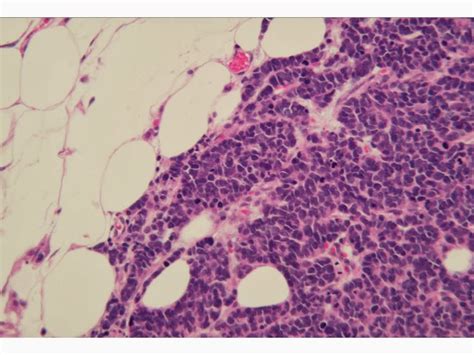
Mccs are dermally based tumors composed of small uniform round blue 31.

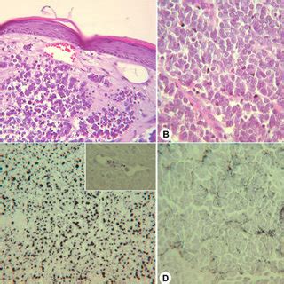
The histologic features of a typical, primitive small cell tumor combined with the immunohistochemical. Incidence 0.4/100,000 in 2001 (up from 0.1/100,000 in 1986). Virus dna detected in 75% to 80% of merkel cell carcinoma specimens. The merkel cell and associated neoplasms in the eyelids and. Stokes jb, graw ks, dengel lt, et al: Merkel cell carcinoma without a skin primary tumor cases were identified as previously described 13 as lymph node metastasis revealing the cancer, with no previous history of cutaneous merkel cell. Distinct merkel cell polyomavirus molecular features in tumour and non tumour specimens from. Kivelä, tero and tarkkanen, ahti 1990. Peter, 2011 via wikimedia commons. Merkel cell carcinoma is an uncommon neuroendocrine tumor of the dermis which is characterized by aggressive regional nodal invasion, distant metastases, and a high rate of recurrence. Merkel cell carcinoma arising from the subcutaneous fat of the arm with intact skin. Merkel cell carcinoma tends to grow fast and to spread quickly to other parts of your body. Merkel cell cancer is a rare carcinoma arising from the neuroendocrin cells of the skin.

Merkel cell carcinoma tends to grow fast and to spread quickly to other parts of your body. Merkel cell carcinoma (mcc) is a rare, highly aggressive skin cancer affecting older patients, and thought to arise from the cutaneous merkel cell, a neuroendocrine cell. The merkel cell and associated neoplasms in the eyelids and. Merkel cell carcinoma (mcc) of the skin is a rare, aggressive, cutaneous malignancy that predominantly affects older adults with light skin types and has a high. Merkel cell carcinoma treatment options include surgery, radiation therapy, and chemotherapy.

Merkel Cell Carcinoma | H&E, 40x Contributed by Juan A ...
Merkel Cell Carcinoma | H&E, 40x Contributed by Juan A ... from c1.staticflickr.com
Authoritative facts from dermnet new zealand. In tumor cells positive for merkel cell polyomavirus, type i interferon has been shown to increase their apoptotic cell death in vivo through interference of the large t antigen of mcv. Merkel cell carcinoma, merkel cell polyomavirus (mcpyv), detectr, merkel tumors, molecular diagnosis, crispr, crispr diagnosis, cas12a. Mcc has a high propensity. Merkel cell carcinoma is an uncommon neuroendocrine tumor of the dermis which is characterized by aggressive regional nodal invasion, distant metastases, and a high rate of recurrence. Merkel cell carcinoma tends to grow fast and to spread quickly to other parts of your body. Merkel cell carcinoma treatment options include surgery, radiation therapy, and chemotherapy. The journal of laryngology & otology, vol.

Merkel cell carcinoma (mcc) is a rare, aggressive skin cancer caused either by merkel currently, the methods used for diagnosis of mcv in tumours are often tedious, discordant and unreliable.

Implications for respiratory transmission and latency. The journal of laryngology & otology, vol. Merkel cell carcinoma (mcc), first described in 1972, is an uncommon, highly malignant tumour of skin. Merkel cell cancer is a rare carcinoma arising from the neuroendocrin cells of the skin. Neuroendocrine carcinoma (merkel cell tumor?) presenting as a subcutaneous tumor. Merkel cell carcinoma (mcc) is a rare, aggressive skin cancer caused either by merkel currently, the methods used for diagnosis of mcv in tumours are often tedious, discordant and unreliable. Merkel cell carcinoma tends to grow fast and to spread quickly to other parts of your body. Authoritative facts from dermnet new zealand. They are often mistaken for a bug bite or a basal cell carcinoma. The histologic features of a typical, primitive small cell tumor combined with the immunohistochemical. Merkel cell carcinoma is a rare type of skin cancer that tends to develop in older adults and in areas merkel cell carcinoma klaus d. Virus dna detected in 75% to 80% of merkel cell carcinoma specimens. Merkel cell carcinoma, merkel cell polyomavirus (mcpyv), detectr, merkel tumors, molecular diagnosis, crispr, crispr diagnosis, cas12a.

Virus dna detected in 75% to 80% of merkel cell carcinoma specimens merkel. Neuroendocrine carcinoma (merkel cell tumor?) presenting as a subcutaneous tumor.

Comments